ブログ

ミクロの世界 花粉ver

2020年9月1日 16時05分

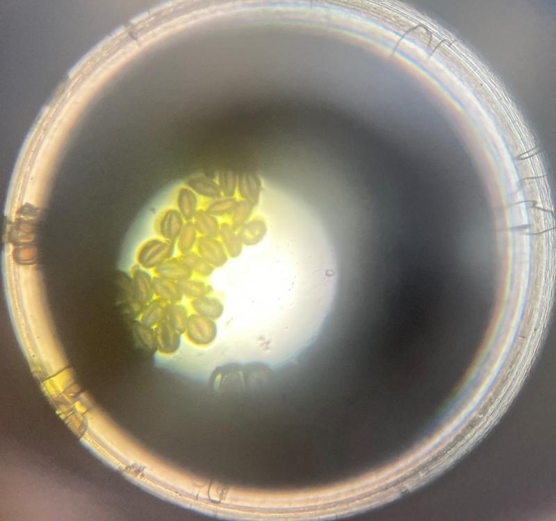
理科の時間にヘチマの花粉を顕微鏡で観察しました。

 

 「スイカの種みたい」「ラグビーボールみたい」「同じ花粉だけど形がちがう」という気づきがありました。

読んでみてください!

2020年7月17日 16時24分

メダカの学習の総まとめとして、新聞を書きました。

 

 

メダカのたまごの成長の順番やメダカクイズなど、一人ひとり担当を決め、責任を持って書きました。

クイズの答えは、新聞を読むか、紙をめくるとわかります。

理科室前掲示板にはってありますので、ぜひ読んでみてください。

5年 発芽し始めました!

2020年5月29日 16時52分

5年の理科で、種子の発芽に必要なものを調べるために、条件制御して水やりをしています。

すでにいくつかの条件のカップで発芽し始めました。

さて、発芽に必要な条件とは何でしょうか。

真相究明まで、あと少しです!

5年「ナイスばり勉」編part3

2020年5月18日 17時28分

まだまだたくさんあります。5年生のナイス「ばり勉」を紹介します。

休校中に、予習をしています!以前テレビで「東大生」が言っていたことを思い出しました。予習と復習では、予習を重視するという考えでした。その理由は、予習をすれば授業の理解も早くなり、結果、復習(宿題)も短い時間で済み、遊ぶ時間も増える!ということで、一石二鳥なんだそうです。これぞ!!「最強予習ノート」ですね。

明日は、5年生登校日!

2020年5月17日 14時33分

ひさしぶりに教室に入って、5年生のテンションが上がればいいなぁ。喜ぶ顔が見たいなぁ。と思い、佐渡先生と上濱先生から誕生日の掲示を作ってもらいました!どの月も季節感を感じられるとっても素敵な掲示にしてもらいました!明日の登校日、教室に入ったらまず自分の月を見てくださいね!!

5年「ナイスばり勉」編 part2

2020年5月14日 13時18分

今日も休校中の宿題で、5年生が頑張った「ばり勉」を紹介します。

休校中、家族と一緒にチャレンジしたことがまとめてありました。このノートを見て、心があったかくなり、また、自分もやってみたい!とわくわくしました。ぱっと見てもわかるように絵で手順を示し、大事なポイントには、色を使い短い言葉で説明してあるので、とってもわかりやすいのです。これぞ!!「最強チャレンジノート」ですね。

5年「ナイスばり勉」編

2020年5月13日 15時32分

休校中の宿題で、5年生が頑張った「ばり勉」を紹介します。

ことわざの意味調べです。(なんと10ページも!)でもすごいのは、「調べる→意味を理解する→自分で短作文を作る→身につく」の最強意味調べスタイルで勉強しているところです!意味調べで大事なことは、調べた言葉を自分で「使える」状態にすることです。これぞ!!「最強意味調べノート」ですね。

動画

動画:5年生向け学習動画
いいね
6f99c395c83097a214354c76961dea99 元気いっぱい 2020/05/18
57446ece030eaf05ef08d9472d89e443 魚のたんじょう② 2020/05/11
f5409801b45c7c013cff1d3eaec2d149 魚のたんじょう① 2020/05/11