保健室日記

こどもに心地よいねむりを

2015年9月11日 12時03分

 子どもたちは、10時までに寝て、6時半頃までにおきている傾向が見られました。しかし、すっきりと起きれている子は少ないです。「ねむかった」「おきれないからお家の人におこしてもらっている」とう子がおおいです。「朝、すっきりとめざめた」というこがすくないのはなぜでしょう????。
 朝、朝日をたっぷりと浴びる、顔を洗うなどのリセットする行動がないように思われます。朝すっきりとめざめるために、保健便りを読んでください。

保健委員が歯みがきチェック

2015年9月11日 11時50分

 9月9日・10日、保健委員が自主的に歯みがきチェックを企画して、自分たちで実行しています。
歯みがき先生で、互いが学び合うとりくみをしてきた成果なのか、自分たちは歯みがきチェックをできると思っています。初日、どのような状況かをみていると、ていねいに歯みがきチェックをしている姿がありました。
       

歯と口の健康について考えよう

2015年7月2日 10時22分


 本校では、歯と口の健康のために保健指導で歯と口の健康の勉強をしました。そして、歯みがきの仕方についても勉強しています。その他に歯みがき先生のとりくみもしています。今年度は一人の先生に一人の生徒となっています。毎日その生徒に声をかけている先生もいます。1年間歯みがき先生が生徒の歯と口の中の健康の責任者となるので、先生は真剣です。たまには自分が歯みがきをせずに、生徒にだけ歯みがきをさせている先生もいますが。
 自分の健康恥分で守るという意識の中でともに健康を考えてくれる・支えてくれるひとがいることを大切にしています。
      

始まりました。健康診断!

2015年4月9日 09時16分

 8日から定期健康診断が始まりました。8日は身長・体重・座高を測定し、視力・聴力も検査しました。色覚については希望をとって実施しようと思っています。
 1年生は就学時健康診断で行ったためか、スムーズに受けていました。新しい事が苦手な人も「あ~~これ?」みたいな感じでした。
 1時間目に健康診断についてお勉強して、目標づくりをしました。その目標を意識しながら、いろいろな検査を受けていくことになります。
 3時間目には手洗い指導と歯ブラシ点検を体育館で全員で行いました。4・5年生は何回も昨年度勉強したおかげで、歌を歌いながら楽しく受けていました。今年も手洗いがんばろうね。
       

      


歯みがき先生

2015年2月9日 16時11分

 毎月8日・18日・28日に「歯みがき先生」という活動をしています。5・6年生が1~4年生の歯みがきの先生になり、個別の歯みがき指導をするという活動です。ずいぶん定着してきました。今日はある子は「愛情たっぷりと育てました」と言って最終チェックにきていました。お互いが口の中を見合うことができる関係作りになってほしいと思います。

                      
 

自分たちで考えたよ・作ったよ

2015年1月21日 16時51分


  保健委員会の劇班が昨年の終業式にしようと思っていた劇をやっと発表することができました。くしゃみやせきでウィルスが跳ぶ距離を示したり、マスクをゴミ箱に捨てる人がいますが、ナイロン袋に入れて捨てる方がいいなどということを言いたくて作ったものです。自分たちで考え、クイズを取り入れたり、お面をつけたりして、仕上げました。
  この劇班はとても元気で遊びたがりなので、休み時間に短期間で仕上げます。発案者やそれを楽しんでアイディアを出す子、そしてだまって言うことを聞く子という三人で、なかなかいいメンバーだなと思います。劇の感想でも、よくわかった・かぜ予防をこころがけたい・マスクをしっかりつけたいなどという感想が出ました。有言実行できるかな?
 
            

ほけんだより1月号.pdf
 

あけましておめでとうございます

2015年1月7日 15時16分

 2学期末にはインフルエンザウィルスが入り、2週間ほどの休みの間に元気になり、登校してくれるかを心配しています。本日、担任の先生に電話連絡で状況を確認してもらったところ、登校できそうな感じでほっとしています。
 3学期は、手洗いと水分補給、換気でインフルエンザウィルスと対抗したいと思います。また、明日から給食が始まります。好き嫌いしていたものも一口から挑戦して、何でも食べれるようにしましょう。めんえき力が高まります。
                       �ق��

亀みたい!

2014年12月24日 13時32分

 給食を食べているときに背筋を丸め、首を縮めて食べている姿がありました。「亀みたいになって食べているよ」と声をかけると「違います!」と首をシャキと伸ばし背筋もピンとしました。給食後保健室に来たので,亀のぬいぐるみを見せて、こんな感じで食べていたよと話をすると「え~~」と笑っていました。亀みたいにならないで、冬休みを過ごしてほしいと思います。
   

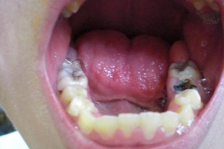
口の中をみることで

2014年12月18日 15時54分

 歯みがきを継続てきにすることがなかなかできない子がいます。強制的にさせていても「先生しつこいから」と思ってしている子の歯みがきは『歯ぬらし」で磨きになっていないことが多いです。強制的に歯みがきをしていくことで,歯みがきをしないと気持ち悪いということになる子もいます。しかし、どうしても磨き残しをしてしまう子に鏡を見て歯みがきをするように指導をしてきました。それでも磨き残しをする子に口の中の写真を撮って、自分の問題をみつけることをしてみました。これから自分健康問題をみつけ解決できるか楽しみにしています。
        
 

歯みがき先生

2014年12月15日 10時22分

11月20日に、2回目の歯の検診がありました。そのときに6年生に保護者のように自分の生徒の横について検診を受けてもらいました。廣江先生の検診結果でむし歯あり、歯垢ありとなれば自分の責任となっています。心配な顔で引率している6年生。検診結果「○」と先生にいわれると6年生がガッツポーズまたはヤッタ-と喜びの声が上がります。そして1年生に「よくがんばったからやぞ」「よかったな」「いううこときいたからやぞ」と声をかけます。生徒は「うんうん」「ありがとう」と答えていますなんともほほえましい光景でした。
それからは.歯みがき先生の日は子どもたちから「今日は歯みがき先生ですね」と言ってくれるようになりました。